011-850-9717
HOME
初めての方へ
歯列矯正について
医院・医師紹介
費用について
お知らせ・症例紹介
診療時間・アクセス
お知らせ・症例紹介
ALL
お知らせ
症例/こどもの矯正
症例/大人の矯正
大人の矯正
2025.12.02 / Tue
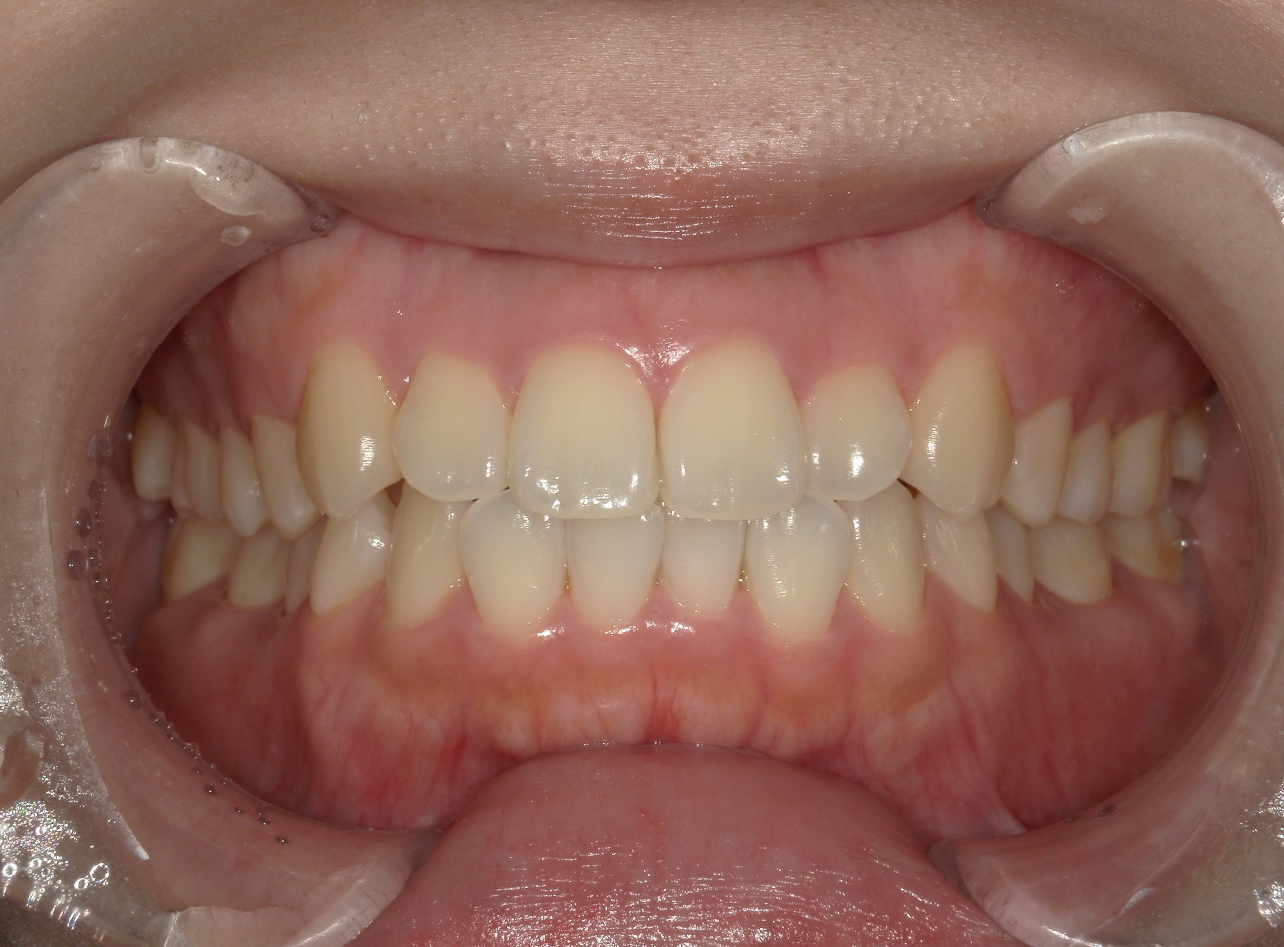
前歯のガタガタと口元の突出感を小臼歯を抜歯して改善した症例
ARCHIVE
2025.12月
2025.11月
2025.10月
2025.09月
2025.08月
2025.06月
2025.05月
2025.04月
2025.03月
2025.02月
2025.01月
2024.12月
2024.11月
2024.10月
2024.09月
2024.08月
2024.07月
2024.06月
2024.03月
2024.01月
2023.12月
2023.10月
2023.09月
2023.08月
2023.07月
2023.06月
2023.05月
2023.04月
2023.03月
2022.12月
2022.11月
2022.08月
2022.07月
2022.04月
2022.01月
2021.12月
2021.11月
2021.08月
2021.07月
PAGE TOP