2025.12.02 / Tue
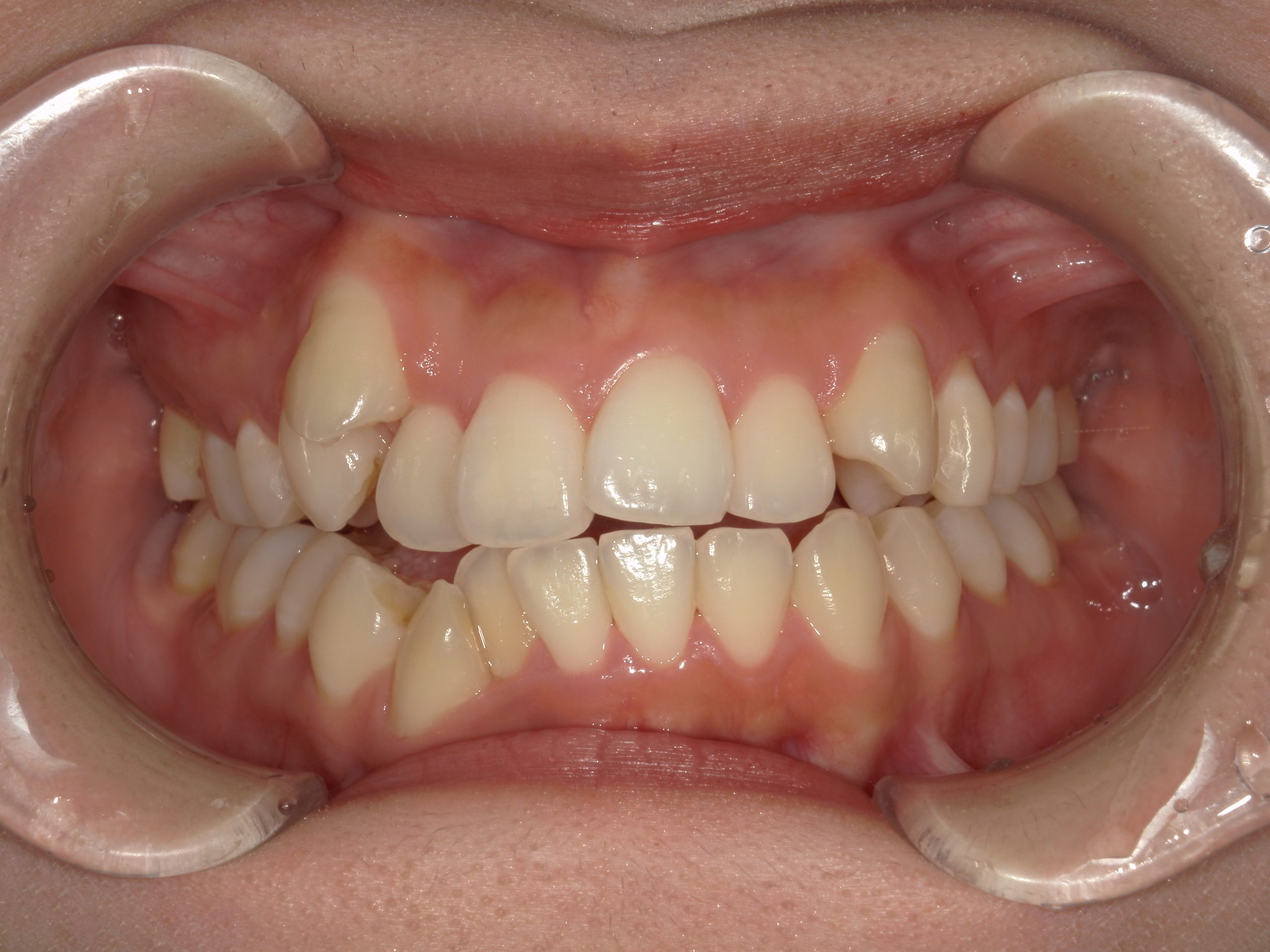
前歯のガタガタと口元の突出感を小臼歯を抜歯して改善した症例
2025.12.02 / Tue
2025.11.28 / Fri
2025.11.25 / Tue
2025.10.30 / Thu
2025.09.19 / Fri
2025.09.05 / Fri
2025.08.09 / Sat
2025.06.20 / Fri