CASE
184顔面正中と歯の正中のズレを伴う八重歯、ガタガタの歯並びを小臼歯を抜歯して治療した症例
大人の矯正
2025.09.19
- 年齢
- 21歳
- 主訴
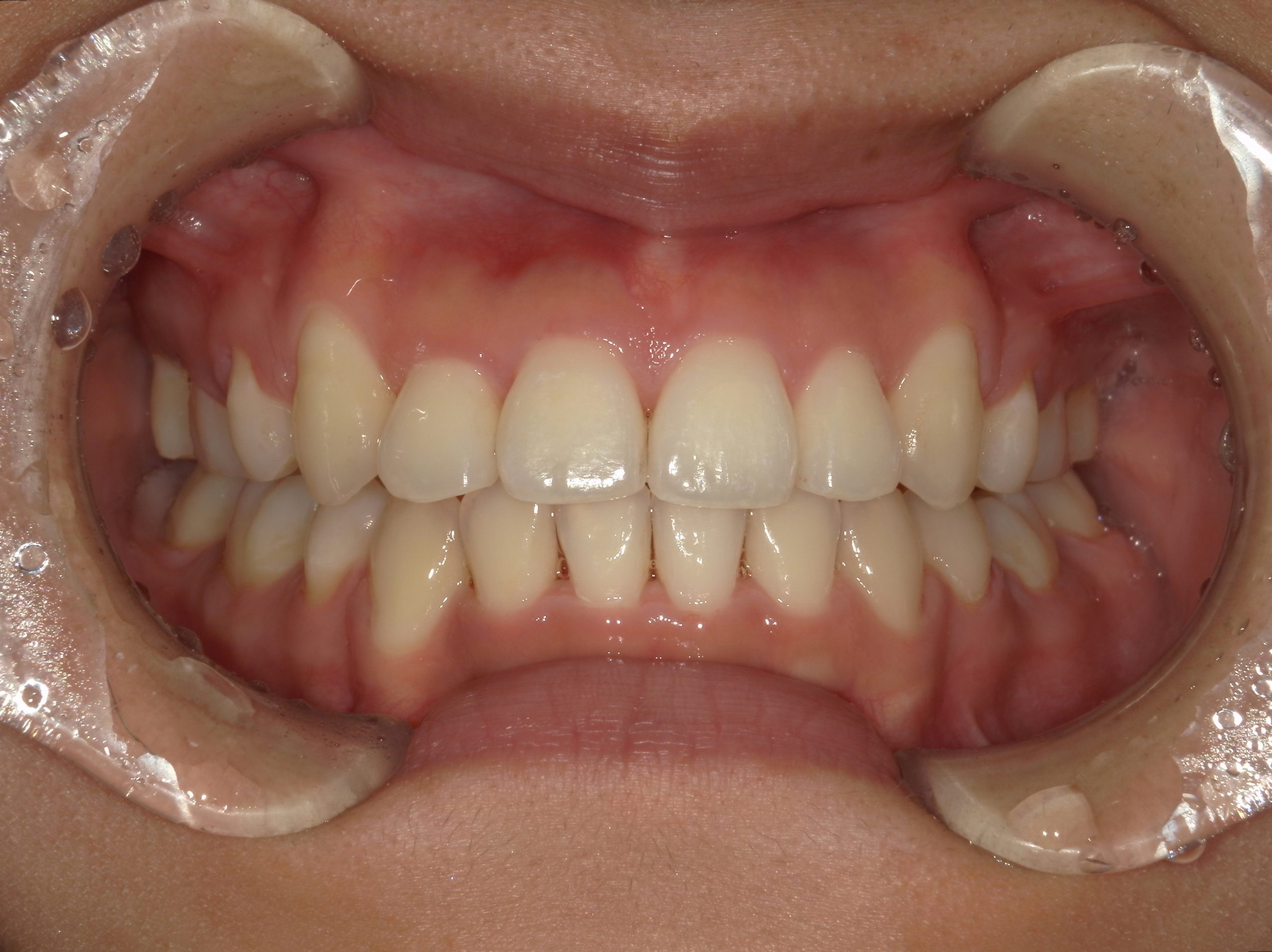
- 八重歯、かみ合っていない、中心のズレ
- 診断名
- 叢生、上顎前突、下顎骨の左方偏位
- 主な使用装置
- マルチブラケット装置、TPA
- 抜歯部位
- 上顎左右第一小臼歯、下顎右側第一小臼歯、下顎左側第二小臼歯
- 治療期間
- 1年1か月(2024.8~2025.9)
- 治療費
- 70万+税 (初診検査料3万、装置撤去時検査料1万、装置料58万、調節料0.5万×16回)
- リスク・副作用
- 歯の移動に伴う痛み、虫歯、歯肉退縮、歯根吸収


歯の動きがスムーズで歯を動かす治療期間は1年1か月で終了しました。
今後は歯の後戻りを防ぐためにマウスピースを使用します。
治療中の様子(マルチブラケット装置+金属ワイヤー)
上顎(治療前→治療後)
下顎(治療前→治療後)
右側方(治療前→治療後)
左側方(治療前→治療後)