CASE
113上顎前突とガタガタをアンカースクリューを用いた治療で改善した症例
              大人の矯正
              
            2025.10.30
- 年齢
- 35歳
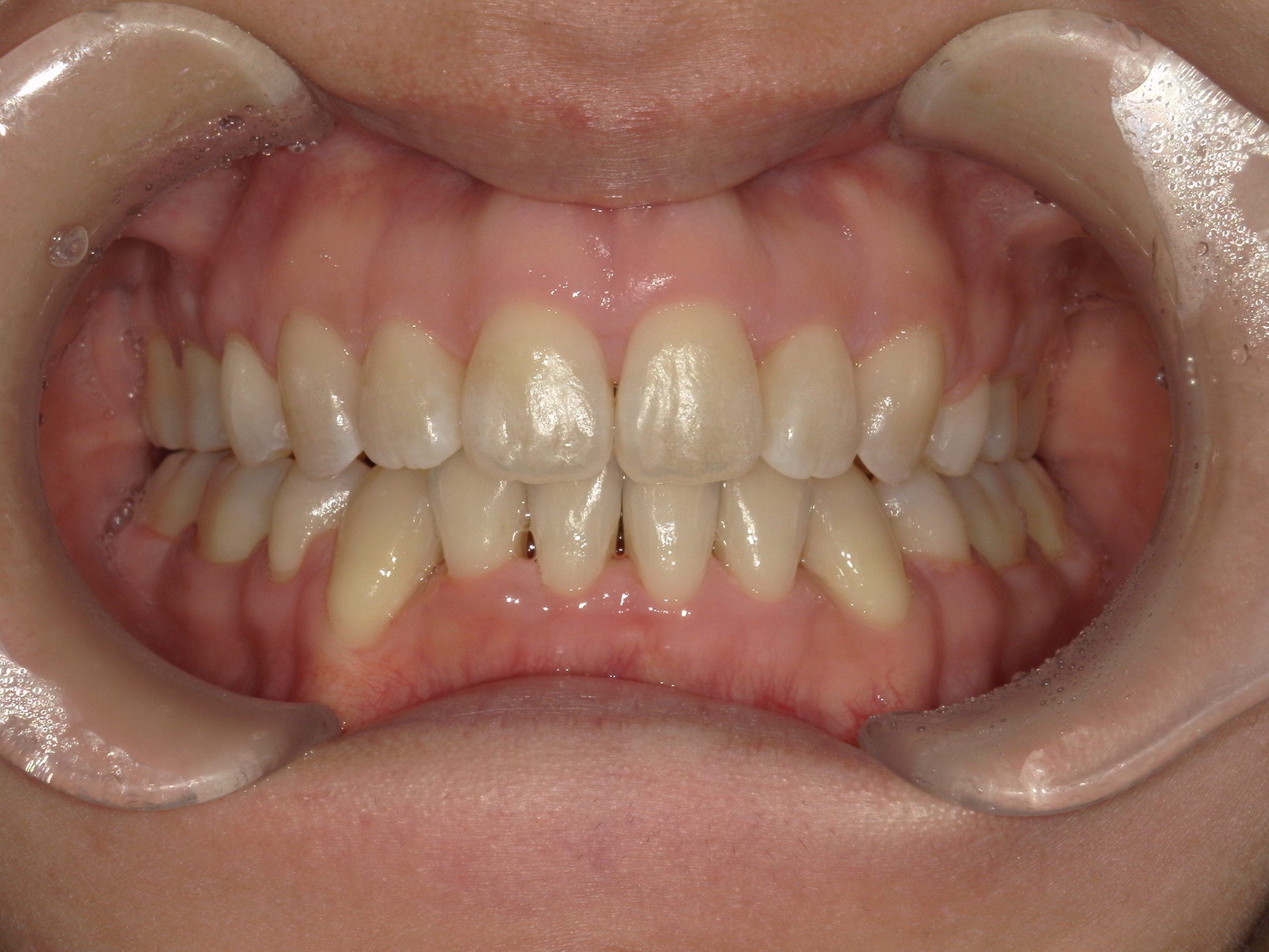
- 主訴
- 出っ歯、口が閉じられない
- 診断名
- 上顎前突、叢生
- 主な使用装置
- マルチブラケット装置(+ホワイトワイヤー)、リンガルアーチ、アンカースクリュー
- 抜歯部位
- 上顎左右第一小臼歯
- 治療期間
- 1年11か月 (2023.11~2025.10)
- 治療費
- 79.5万+税 (初診検査料3万、定期検査料1万、装置料56万、ホワイトワイヤー加算6万、調節料0.5万×27回)
- リスク・副作用
- 歯の移動に伴う痛み、虫歯、歯肉退縮、歯根吸収
 
               
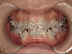
              治療中の様子(マルチブラケット装置+ホワイトワイヤー)

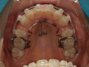
治療中の様子(アンカースクリュー)

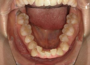
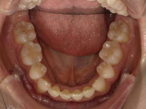
治療前→治療後(下顎)
 
 
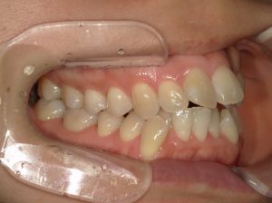
治療前→治療後(右側方)
 
 
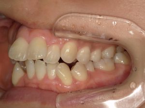
治療前→治療後(左側方)
 
 
 
			 
				