CASE
157親知らずを4本抜いて下のガタガタと左側の鋏状咬合を改善した症例
大人の矯正
2025.12.18
- 年齢
- 18歳
- 主訴
- 下の歯のガタガタが気になる
- 診断名
- 叢生、顎関係の不調和(Ⅱ級)、左側第二小臼歯部および第二大臼歯部鋏状咬合、下顎左右第三大臼歯の埋伏
- 主な使用装置
- マルチブラケット装置(+金属ワイヤー)
- 抜歯部位
- 上下左右第三大臼歯(親知らず)
- 治療期間
- 11か月 (2025.1~2025.12)
- 治療費
- 69万+税 (初診検査料3万、定期検査料1万、装置料58万、調節料0.5万×14回)
- リスク・副作用
- 歯の移動に伴う痛み、虫歯、歯肉退縮、歯根吸収
治療中の様子(マルチブラケット装置+金属ワイヤー)

治療前→治療後(上顎)

親知らずを抜いたスペースを利用して左上の第二大臼歯を後ろに動かし、第一大臼歯を外側に移動させました。
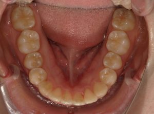
治療前→治療後(下顎)

親知らずを抜き、下のガタガタを改善しました。
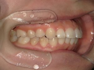
治療前→治療後(右側方)

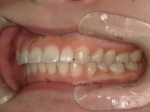
治療前→治療後(左側方)

左側の第二小臼歯部と第二大臼歯部の鋏状咬合(ハサミのようにすれ違っているかみ合わせ)を改善しました。